‘I Recorded Them Murdering Patients’: COVID Nurse Goes Public With Shocker (VIDEO)
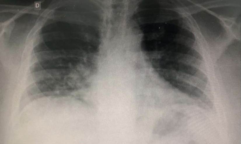
A nurse who responded during America’s 2020 fight against COVID-19, traveling from Florida to New York to help in one of the hospitals in that pandemic-struck city, reports the health care system was about as bad as the pandemic itself.
“I recorded them murdering patients. I recorded just the complete and absolute disregard for human life,” Erin Maria Olzewski said during an interview with LifeSiteNews.
She previously has gotten attention for her reports of “fraud, negligence, and greed” in the system that “led to unnecessary deaths” during the nation’s war against the virus that apparently was unleashed in China and since has spread around the globe, killing millions. . .
“The very first day [at Elmhurst] I was shocked. It was something I’ve never seen before. Patients were alone in the rooms on ventilators [with] no family allowed in [to advocate for them]. People were just dying from gross negligence, medical malpractice, [and] mismanagement,” she said.
Olzewski said patients who repeatedly tested negative for the virus were being labeled as “COVID confirmed” in their medical charts, and that triggered a higher level of compensation from the government. (Read more from “‘I Recorded Them Murdering Patients’: COVID Nurse Goes Public With Shocker” HERE)
Delete Facebook, Delete Twitter, Follow Restoring Liberty and Joe Miller at gab HERE.



